
・女性
・医療級セルフホワイトニング
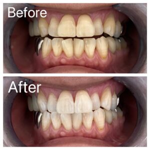
医療級セルフホワイトニングで一気にトーンアップ⤴️✨
比べてみると黄ばみが落ちているのがよくわかりますね😌
当店の医療級セルフホワイトニングは、歯科医処方のジェルを使用しているので歯本来の白さ以上にすることが出来ます💁
ぜひ一度お試しください♪
只今、LINE友達追加限定で10%offクーポンを配布しておりますのでお得なキャンペーン中に是非☺️
※クーポン有効期限は~12/31まで
ご予約、ご来店お待ちしております🎀
୨୧┈┈┈┈┈┈┈┈┈┈┈┈┈┈┈┈┈┈┈┈┈┈┈┈┈┈┈┈┈┈┈┈┈୨୧
歯のセルフホワイトニング専門店 FAST WHITENING くずは店
京阪本線樟葉駅徒歩5分
営業時間:9:30~20:00
ご予約はこちらから



